Implantologija
Zobni implantati so učinkovita in elegantna rešitev, če želite nadomestiti enega, več ali vse zobe. Nudi zelo naraven izgled in ima lahko trajni učinek.
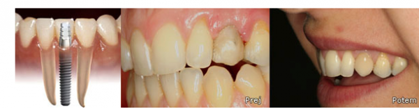
Implantat je zobni korenini podoben vsadek, ki nadomešča izgubljene zobe. Izdelan je iz biološko kompatibilnega materiala, ki je telesu prijazen; najpogosteje je to titan.
Umetno korenino iz titana kirurško vstavimo v kost in z njo spojimo. Postopek je neboleč, saj ga izvajamo v lokalni anasteziji. Celjenje in vraščanje implantanta traja praviloma od dva do šest mesecev. V času celjenja in vraščanja lahko uporabljate začasen protetični nadomestek (mostiček, protezo), ki vam ga ustrezno prilagodimo.
Zobni implantant lahko ob ustrezni higieni in rednem vzdrževanju doživljenjsko ostane v čeljusti.
Kdaj je priporočljivo vstaviti zobni implantant?

Preberite si več o postopku vstavitve implantanta.
Pogosta vprašanja
Vas zanima več? Oglejte si najbolj pogosta vprašanja in odgovore, ali pa stopite v stik z nami.
- Stara sem 34 let in zaradi parodontoze iščem dolgoročno rešitev za obe čeljusti.
Najprej naj povem, da ne morem odgovarjati specifično za vas, ker bi potrebovala vsaj ortopan, še bolje klinični pregled .
Naslednja pomembna informacija je ta, da tudi implantati niso odporni na parodontalno bolezen in z vašo nagnjenostjo morate vedeti, da je riziko za izgubo implantatov večji. Res so se v literaturi pojavljali namigi, da naj bi z izgubo vseh zob nastala sprememba v oralni flori in je teoretično možno, da postane parodontalni bolnik zdrav. Patofoziologija bolezni tega ne podpira docela, saj je za nastanek oz. napredovanje bolezni pomemben vaš imunološki odgovor (ki je pri vas pretiran in brezzobost tega ne spremeni), bakterije pa so v ustih vedno prisotne oz. se specifične bakterije za parodontalno bolezen lahko razmnožijo kadar koli.
Druga pomembna stvar pri odločanju je vaša starost. Izguba zob pomeni izgubo kostnine, izguba implantatov zaradi parodontalne bolezni pobere še preostanke kostnine in pri večini ljudi se lahko zgodi, da novih implantatov ni več kam dati, proteza pa tudi ne drži, ker se nima kam opreti. Na to opozarjam, ker se pogosto prehiteva dogodke. Iz finančnih razlogov in enostavnosti terapije se pritiska na paciente, da se prehitro odločijo za implantate, ko bi si lahko morda pridobili še 10-15 let nošenja (konstrukcij na) lastnih zob in se šele takrat pristopi k implantatom... 20% vseh implantatov v teku nošenja pri povprečni populaciji (vključeni tako zdravi kot parodontalni bolniki) razvije parodontalno bolezen, ki je težje obvladljiva kot parodontalna bolezen na zobeh.
Odločitev se lahko sprejme le po pregledu preostalih zob in oceni primernosti za nosilce. Moje izkušnje so, da je perspektivno ohranjati parodontalno prizadete zobe, kljub temu, da je veliko zobozdravnikov proti. Opažam, da dobro zdravljenje in vzdrževanje zob in primerna (fiksna) protetična konstrukcija vzdržujejo zobe v ustih še leta, včasih krepko čez 10 let, pa so jih mislili izpuliti...
Še nekaj glede fiksne ali snemne protetike na implantatih: pomembna študija je pokazala večje zadovoljstvo ljudi s snemno - ljudem so izdelali tako snemno kot fiksno, ena skupina je najprej nosila snemno, druga fiksno in obratno in na koncu študije so se morali odločiti, katero želijo za stalno: velika večina je izbrala snemno. Je enostavna za higiensko vzdrževanje, nadomešča lahko tudi izgubljena trda in mehka tkiva (rdečino), fonetika ni problem. In je cenejša.
- Zaradi izgube večih zob in nezmožnosti pritrditve mostička (ker ni krajnega zoba za povezavo) mi je zobozdravnica omenila možnost vstavitve implantov. Vendar je malo kosti in bi bilo potrebno dvigniti sinus in vstaviti kost. Kakšen je ta postopek?
Postopek je relativno preprost in popolnoma neboleč. V ustih se naredi dostop do sinusa, dvigne sinusno membrano, vanjo vloži umetno kost, pokrije z dodatno membrano in se vse zapre. Implantate vam lahko vstavimo med operacijo (če je dovolj debela kost; vsaj 3-4 mm) ali pa se počaka 6 mesecev in se vstavi implantate po tem času. Na vraščanje implantatov se čaka 4-6 mesecev. Tako je skupni čas do izdelave protetike na implantatih ali 6 mesecev (istočasna vstavitev sinusne kosti in implantatov) ali pa v primeru dveh zaporednih operacij 10-12 mesecev. V tem času nosite kakovostno izdelane provizorije, ki se sidrajo na preostale zobe in dlesen.
Po operaciji lahko pričakujete oteklino, redko rahle pooperativne bolečine. Vse težave minejo običajno v času enega tedna.