17.07.2018
Kdaj je priporočljivo vstaviti zobni implantat?
Zob lahko izgubimo zaradi več razlogov; najpogojsteje je to karies, parodontalna bolezen, poškodba ali bruksizem. Dentalni implantati so učinkovita in elegantna metoda nadomestitve enega, več ali vseh zob.
Nadomestitev enega zoba
Z implantatom lahko nadomestimo posamičen manjkajoč zob. S tem se izognemo brušenju vsaj dveh sosednjih zob zaradi izdelave zobnega mostička.

Nadomestitev več zob v obliki mostička
Nadomestimo lahko več manjkajočih zob, tako da na vsaj dveh implantatih izdelamo mostiček. S takšnimi rešitvami se lahko izognemo zobni protezi.


Prej

Potem
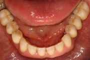
Nadomestitev vseh zob v obliki snemno - ali fiksnoprotetične oskrbe
Implantate lahko uporabimo za pričvrstitev zobne proteze. Čeprav je protezo še vedno mogoče sneti, je njena funkcionalnost neprimerljivo večja kot pri običajni zobni protezi.

PREJ
POTEM