Knjiznjica znanja Delne prevleke

31.07.2018

Preoblikovanje zob s kompozitom - galerija primerov

Vse fotografije - prikazani primeri so nastali v Stomatoestetiki Kuliš in so avtorsko zaščiteni.

Dograditev zob s kompozitnimi materiali je poseg, pri katerem se direktno na zobno površino nanaša sklenini podoben material.

 

            

prej

PREJ

potem

POTEM

prej

PREJ

potem

POTEM

prej

PREJ

potem

POTEM

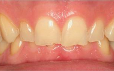
prej

PREJ - odlomljena zobovina

potem

POTEM - direktna dograditev zob z estetskim kompozitom

prej

PREJ - amalgamske zalivke, obraba zob

potem

POTEM - kompozitne dograditve in onlayi

prej

PREJ - obraba in nepravilna postavitev zob

potem

POTEM - korekcija postavitve zob in dograditev obrabe

prej

PREJ - obraba zob

potem

POTEM - direktna dograditev zob z estetskim kompozitom