Knjiznjica znanja Porcelanaste luske

30.07.2018

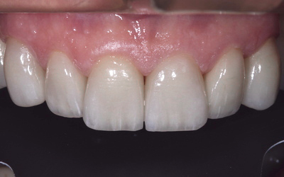
Porcelanske luske - galerija primerov

Vse fotografije - prikazani primeri so nastali v Stomatoestetiki Kuliš in so avtorsko zaščiteni.

Porcelanske luske izdelamo za vsak zob posebej in jih trajno prilepimo na zobno površino. Z njimi vam na hiter in neboleč način povrnemo lep nasmeh.

 

 

prej

PREJ

potem

POTEM

prej

PREJ

potem

POTEM

prej

PREJ

potem

POTEM

prej

PREJ

potem

POTEM

prej

PREJ

potem

POTEM

prej

PREJ

potem

POTEM

prej

PREJ

potem

POTEM

prej

PREJ - premajhna zgornja čeljust in neurejen videz zob

potem

POTEM - z luskami se je izboljšal celoten videz obraza

prej

PREJ - prekratki in neestetski zobje, grob videz

potem

POTEM - polnoporcelanske luske - bolj harmoničen videz

prej

PREJ - neurejen videz in ozki zobni loki

potem

POTEM - izboljšan videz s porcelanskimi luskami in cirkonijevo polno keramiko na stranskih zobeh

prej

PREJ - neurejen videz in ozki zobni loki

potem

POTEM - izboljšan videz s porcelanskimi luskami in cirkonijevo polno keramiko na stranskih zobeh

prej

PREJ

potem

POTEM