Ortodontski aparati

20.02.2020

Fiksni ortodontski aparati

Vse fotografije - prikazani primeri so nastali v Stomatoestetiki Kuliš in so avtorsko zaščiteni.

Pri fiksnih zobnih aparatih se na zobe namesti kovinske ali estetske (keramične) nosilce - "zvezdice" in nanje vpne žične loke. Z njimi lahko premikamo zobe tudi v najtežjih primerih, ko so zobje ujeti v kosti ali jih je potrebno premikati na dolge razdalje.

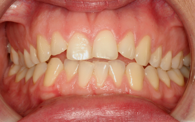
Poglejte si nekaj naših kliničnih primerov pred in po ortodontski terapiji s fiksnimi aparati.

prej

PREJ

potem

POTEM

prej

PREJ

potem

POTEM

prej

PREJ

potem

POTEM

prej

PREJ

potem

POTEM

prej

PREJ

potem

POTEM

prej

PREJ

potem

POTEM

prej

PREJ

potem

POTEM

prej

PREJ: zaradi slabe prognoze odstranitev prvega desnega ličnika in prvega levega kočnika

potem

POTEM: zaprtje nastalih vrzeli s pomikom zadnjih zob naprej s pomočjo skeletnega sidranja

prej

PREJ

potem

POTEM

prej

PREJ: nepravilna lega levega zgornjega podočnika

potem

POTEM: uspešen premik levega zgornjega podočnika v zobni lok

prej

PREJ: manjkajoči spodnji prvi kočniki

potem

POTEM: pomik spodnjih ličnikov naprej in priprava prostora ter vstavitev dveh implantatov